به گزارش سلامت نیوز به نقل از مدیکال نیوز تودی ، زمانی که بدن تلاش می کند از بروز مشکلی خبر دهد، همواره پیامی که قصد انتقال آن را دارد واضح و روشن نیست. هر گونه درد می تواند به مشکلات مختلفی اشاره داشته باشد و یکی از شایعترین شرایط احساس درد در پهلوها است.
یکی از علل شایع کمردرد، آسیبی مانند کشیدن عضله (کشش) است. گاهی اوقات، شرایط پزشکی مانند لیز خوردن دیسک، سیاتیک (عصب به دام افتاده) یا اسپوندیلیت آنکیلوزان می تواند باعث کمردرد شود. به ندرت، کمردرد می تواند نشانه یک مشکل جدی مانند شکستگی استخوان، سرطان یا عفونت باشد.
درد پهلو به درد در کنار بدن، درست زیر دندهها گفته می شود. گاهی اوقات، این درد ممکن است به کمر هم کشیده شود. ارگانها و ماهیچه های زیادی در پهلوهای چپ و راست یا نزدیک به آنها وجود دارد که درد پهلو را به یک علامت رایج تبدیل میکند.
برخی از علل درد پهلو، مانند عفونت کلیه یا پانکراتیت، بسیار جدی هستند و باید کاملا بررسی شوند. برخی دیگر، از جمله کشیدگی یا سفتی عضلانی، می توانند دردناک باشند، اما عمدتا بی ضرر هستند.
در ادامه با برخی دلایل شایع احساس درد در پهلوها بیشتر آشنا می شویم:
طحال آسیب دیده یا پاره شده
طحال عضوی است که در سمت چپ بالای شکم فرد قرار دارد. طحال از اجزای سیستم لنفاوی بدن بوده و در از بین بردن ضایعات سلولی، حفظ تعادل مایعات بدن، تولید گلبولهای سفید و ساخت مواد دخیل در فرایند التهاب و بهبودی نقش دارد. هنگامی که طحال آسیب دیده یا بزرگ می شود، ممکن است فرد در سمت چپ بدن خود احساس درد کند.
پارگی طحال یک فوریت اورژانسی است. با توجه به خدمات بهداشت ملی (NHS)، آسیب می تواند باعث پارگی طحال شود اما این پارگی می تواند بلافاصله یا چند هفته پس از آسیب اولیه رخ دهد.
علائم آسیب دیدگی یا پارگی طحال عبارتند از:
- درد پشت دنده چپ
- سرگیجه
- ضربان قلب سریع
علاوه بر این، اگر فرد دراز بکشد و پاهای خود را بالا بیاورد، ممکن است در بالای شانه چپ خود احساس درد کند.
طحال بزرگ شده
آسیب یا عفونت می تواند باعث بزرگ شدن طحال شود. بزرگی طحال همچنین می تواند نتیجه یک بیماری دیگر مانند آرتریت روماتوئید، لوسمی یا سیروز باشد. NHS خاطرنشان می کند که ممکن است فرد همیشه از خود علائمی نشان ندهد، با این حال، میتواند علائم زیر را تجربه کند:
- ناراحتی و درد در پشت دنده های چپ
- به راحتی خونریزی می کند
- کم خونی
- خستگی
- احساس سیری سریع
- عفونت ها

دیورتیکولیت
دیورتیکولوز وضعیتی است که در آن کیسه های کوچک تشکیل می شوند و از طریق نقاط ضعیف تر در دیواره روده بزرگ عبور می کنند. دیورتیکولیت زمانی رخ می دهد که یک یا چند مورد از این کیسه ها ملتهب شوند.
دیورتیکولیت یک وضعیت التهابی در روده بزرگ است که به نظر میرسید ناشی از سوراخ شدن کیسه ها باشد. معمول ترین علامت دیورتیکولیت درد شکم و لگن، حساس بودن نقطه ی درد و تب است.
دردی که بخاطر دیورتیکولیت ایجاد می شود، معمولا در قسمت پایین سمت چپ شکم و ناگهانی و به طور شدید رخ می دهد. گاهی نیز ممکن است خفیف باشد و در طی چند روز بدتر شود.
علائم دیورتیکولیت عبارتند از:
- اسهال
- یبوست
- استفراغ
- حالت تهوع
اگر علائم خفیف باشند، فرد می تواند استراحت کند، آنتی بیوتیک دریافت کرده و مایعات زیاد مصرف کند. پس از چند روز، اگر علائم کاهش یابد، فرد می تواند به تدریج غذاهای جامد را به رژیم غذایی خود بازگرداند.
اگر علائم ناگهانی و شدید باشد، ممکن است لازم باشد فرد چند روز در بیمارستان بماند و آنتی بیوتیک داخل وریدی دریافت کند.
حمله قلبی
حمله قلبی زمانی رخ می دهد که شریان خونرسانی به قلب به علت تجمع رسوبات چربی در آنها مسدود شود. شریان های مسدود شده اکسیژن رسانی به قلب را کاهش می دهد، به عضله قلب آسیب می رساند و منجر به حمله قلبی می شود.
درد در یک یا هر دو بازو ممکن است نشانه حمله قلبی باشد، اما برخی از علائم مهم دیگر که باید به دنبال آنها باشید عبارتند از:
- ناراحتی در مرکز قفسه سینه
- احساس درد یا فشار در بازوها، قفسه سینه یا هر دو
- تنگی نفس
- عرق سرد
- سبکی سر
در صورت بروز این علائم با نزدیکترین بیمارستان تماس بگیرید. بسیاری از متخصصان اولین ساعت حمله قلبی را "ساعت طلایی" می دانند که در طی آن درمان به موقع می تواند جان انسان ها را نجات دهد.

سیاتیک
سیاتیک یک بیماری دردناک است که تقریباً همیشه فقط یک طرف بدن را درگیر می کند. با این حال، می تواند هر دو طرف بدن را نیز تحت تاثیر قرار بدهد. به این سیاتیک دو طرفه می گویند که نادر است. نام آن از عصب سیاتیک گرفته شده است که از ستون فقرات تا پاها امتداد دارد. شایع ترین علت سیاتیک فتق یا برآمدگی دیسک ستون فقرات است که به عصب سیاتیک فشار وارد می کند.
افراد مبتلا به سیاتیک درد را به عنوان ضربات وارد شده چاقو به بدن یا احساس سوزن سوزن شدن تعریف می کنند.
برخی علائم سیاتیک دیگر عبارتند از:
- بی حسی
- درد شدید هنگام عطسه یا سرفه
- ناتوانی در صاف نشستن
- ضعف
- احساس سوزش در اطراف باسن
پارگی کیست تخمدان
پاره شدن کیست تخمدان باعث بروز درد در یک سمت بدن می شود. کیست تخمدان کیسه ای پر از مایع است که می تواند در داخل یا روی تخمدان ایجاد شود. کیست تخمدان ممکن است پاره شود و در برخی موارد، هیچ علامتی در بدن ایجاد نمی کند یا ممکن است علائم ایجاد شده بسیار خفیف باشند. در موارد دیگر، کیست پاره شده می تواند علائم شدیدی مانند درد ناگهانی و شدید در قسمت پایین شکم ایجاد کند و فرد خونریزی را نیز تجربه کند.
آپاندیسیت
یکی از شایعترین نشانه های آپاندیسیت، التهاب آپاندیس، احساس درد در پهلوی راست بدن است. در صورت عدم درمان، آپاندیسیت می تواند به مشکلات جدی منجر شود که از آن جمله می توان پریتونیت (Peritonitis) عفونت در شکم که به طور بالقوه می تواند زندگی فرد را در معرض خطر قرار دهد و تشکیل آبسه ای که تخلیه آن می تواند به هفته ها زمان نیاز داشته باشد، اشاره کرد.

عفونت دستگاه ادراری
عفونت های دستگاه ادراری - عفونت هایی که موجب تورم و درد در دستگاه ادراری می شوند - بسیار شایع هستند. احتمال ابتلا به یک عفونت دستگاه ادراری در زنان بیشتر از مردان است. موارد عفونت دستگاه ادراری که درمان نمی شوند می توانند موجب عفونی شدن کلیه ها، تب، حالت تهوع و احساس درد در پهلوها و کمر شوند.
کرامپ های قاعدگی
زنان طی دوره قاعدگی به طور معمول با احساس درد در ناحیه کمر مواجه هستند. خوشبختانه کرامپ های قاعدگی یا دیسمنوره از طریق مصرف قرص های خوراکی، درمان های هورمونی و تغییرات غذایی قابل تسکین است.
سنگ های کلیه
سنگ های کلیه می توانند موجب احساس دردی شدید در پهلوها شوند و در واقع این از شایعترین نشانه های ابتلا به سنگ های کلیه شدید است. درد به طور معمول با خون در ادرار، حالت تهوع، تب، و ادرار بد بو همراه است.

تجمع گاز در دستگاه گوارش
تجمع گاز در روده بزرگ می تواند منجر به درد در سمت چپ بدن شود. فرد همچنین می تواند در سمت راست یا در هر دو طرف بدن خود درد را احساس کند.
در شرایط عادی، افراد گاز را از طریق آروغ زدن یا به واسطه ی راست روده آن را از بدن خارج می کنند که یک ویژگی طبیعی بدن است. در واقع، اکثر مردم حدود 1 تا 4پیمانه گاز در روز تولید کرده و حدود 14 تا 23 بار در روز آن را دفع می کنند.
گاهی اوقات، گاز در دستگاه گوارش از بلع هوای اضافی هنگام خوردن یا آشامیدن تجمع می یابد. همچنین می تواند به دلیل تجزیه غذاهای هضم نشده توسط باکتری های روده انباشته شود.
غذاهایی که می توانند باعث ایجاد گاز اضافی شوند عبارتند از: نوشیدنی های گازدار، جایگزین های قند و مکمل های فیبر.
علائم دیگر عبارتند از:
- آروغ زدن مکرر
- نفخ شکم
- درد یا ناراحتی در یک یا هر دو طرف بدن
سوء هاضمه
سوء هاضمه شدید می تواند موجب درد در پهلوی چپ و گاهی اوقات قسمت مرکزی شکم شود. سوء هاضمه اغلب در نتیجه خستگی عاطفی شدید یا سریع غذا خوردن شکل می گیرد. اما این شرایط می تواند نشانه ای از یک زخم معده، بیماری تیروئید، یا پانکراتیت مزمن نیز باشد. در صورت تجربه سوء هاضمه مکرر و طولانی مدت مراجعه به پزشک برای بررسی دقیق شرایط بهترین گزینه است.

عفونت کلیه
عفونت کلیه می تواند باعث درد در یک یا هر دو طرف بدن شود. کلیه ها در زیر قفسه سینه در دو طرف ستون فقرات قرار دارند. آنها بسیاری از وظایف حیاتی را انجام می دهند، از جمله:
- فیلتر کردن خون
- پاکسازی بدن از مواد سمی
- کنترل فشار خون
- حفظ و تعدیل سطح مایعات
با این حال، این عملکردهای حیاتی کلیه ها در صورت بروز عفونت مختل می شوند.عفونت در کلیه معمولا به دلیل باکتری اتفاق می افتد. اکثر عفونت های کلی به عنوان عفونت مثانه شروع می شوند.
علائم عفونت کلیه عبارتند از:
- درد در پشت، پهلو یا ناحیه کشاله ران
- تب
- حالت تهوع
- استفراغ
- ادرار کدر یا تیره با بوی نامطبوع
- افزایش نیاز به ادرار مکرر
- ادرار دردناک
- لرز
کشیدگی ماهیچه
درد همواره نشانه ای از بروز مساله ای خطرناک و شدید نیست. گاهی اوقات احساس درد در پهلوها تنها به واسطه یک کشیدگی ماهیچه ای شکل گرفته است. اغلب افرادی که ورزش می کنند یا وسایل سنگین را جابجا می کنند، این شرایط را تجربه می کنند. کشیدگی و فشار بر ماهیچه به طور معمول با استراحت و خوددرمانی بهبود می یابد.
کمر درد
کمر درد یکی از شایعترین دلایل مراجعه افراد به پزشک است. درد می تواند به بخش های کناری و حتی جلو بدن نیز گسترش یابد. در شرایطی که این درد معمولا خود به خود بهبود می یابد، مراجعه به پزشک برای بررسی دقیق شرایط و اطمینان از این که مساله ای جدی، مانند آرتریت یا پوکی استخوان رخ نداده است، بهترین گزینه محسوب می شود.

پیچ خوردگی بیضه
پیچ خوردگی بیضه به طور معمول باعث درد در یک طرف بدن می شود. پیچ خوردگی بیضه زمانی اتفاق می افتد که بیضه می چرخد که می تواند طناب اسپرماتیک را بپیچاند که خون را به کیسه بیضه می آورد. در نتیجه جریان خون کاهش یافته و باعث درد و تورم می شود.
برخی از علائم عبارتند از:
- درد ناگهانی و شدید در بیضه آسیب دیده
- حالت تهوع
- استفراغ
- درد شکم
- درد کشاله ران
- بیضه ی متورم شده
بارداری خارج از رحم
بارداری خارج از رحم زمانی رخ می دهد که تخمک بارور شده به جای کاشت در رحم، در لوله فالوپ قرار گرفته و رشد می کند. این یکی دیگر از دلایل احساس درد در پهلوها و وضعیتی اضطراری است زیرا در صورت عدم رسیدگی می تواند به مرگ منجر شود.
سندرم روده تحریک پذیر
از علائم شایع سندرم روده تحریک پذیر می توان به معده درد، نفخ، احساس درد در پهلوها و اجابت مزاج نامنظم اشاره کرد.
آندومتریوز
آندومتریوز زمانی رخ می دهد که بافتی که دیواره داخلی رحم را پوشش می دهد در جایی خارج از این اندام ظاهر می شود. در شرایطی که امکان ابتلا به آندومتریوز بدون درد وجود دارد، علائم شایع این شرایط شامل درد در و اطراف قسمت پایینی شکم، قاعدگی های دردناک غیر معمول، و درد هنگام رابطه جنسی می شوند.

عدم تحمل لاکتوز
افرادی که از آنزیم لاکتاز کافی برای گوارش شیر و محصولات مبتنی بر شیر برخوردار نیستند، در واقع به عدم تحمل لاکتوز مبتلا هستند. از علائم عدم تحمل لاکتوز می توان به اسهال، نفخ، حالت تهوع، گاز بیش از حد و درد در پهلوها و معده اشاره کرد.
رگ به رگ شدن یا کشیدگی
یک فرد ممکن است دچار کشیدگی یا رگ به رگ شدن در سمت چپ بدن خود شود. با این حال، می تواند سایر قسمت های بدن را نیز تحت تأثیر قرار دهد. اگرچه ممکن است افراد از این اصطلاحات به جای یکدیگر استفاده کنند، کشیدگی و رگ به رگ شدن دو حالت متفاوتی هستند که بر قسمتهای مختلف بدن تأثیر میگذارند. NHS خاطرنشان می کند که اگر درد و سایر علائم بر موارد زیر تأثیر بگذارد، احتمالاً دردی که تجربه می شود بخاطر فشار شدید وارد شده یا رگ به رگ شدن است:
- مچ پا
- مچ دست
- پا
- شست
- زانو
- پا
توجه داشته باشید که رگ به رگ شدن، پارگی یا پیچش رباط، بافت الاستیم موجود در بدن است که یک استخوان را به استخوان دیگر متصل می کند.
علائم پیچ خوردگی عبارتند از:
- درد
- کبودی
- التهاب
- ناتوانی در استفاده از مفصل
کشیدگی، آسیب عضله یا تاندون است. می تواند باعث کشش جزئی و در برخی موارد حتی پارگی عضله یا تاندون شود.
برای تشخیص کشیدگی به دنبال علائم زیر باشید:
- درد شدید
- گرفتگی عضله
- ضعف عضلانی
- ورم
- گرفتگی
- مشکل در حرکت
سنگ کیسه صفرا
زمانی که صفرا سخت شده و در کیسه صفرا انباشته می شود، می تواند به تشکیل سنگ های کیسه صفرا منجر شود. این شرایط به طور معمول موجب احساس درد در قسمت بالایی شکم می شود، اما ممکن است موجب دردهای شدید و منقبض کننده در قسمت پایینی شکم نیز شود.
تخلیه سنگ های کیسه صفرا از طریق عمل جراحی صورت می گیرد.
استفاده بیش از حد یا خیلی کم از عضلات
به گزارش سلامت نیوز به نقل از اوری دی هلث عضلات معده، پشت و حتی قفسه سینه ممکن است باعث درد پهلو شوند. برخی از علل شایع درد عضلانی عبارتند از:
- آسیب های عضلانی، مانند کشیدگی یا رگ به رگ شدن
- کار کردن بیش از حد عضلات
- سبک زندگی بی تحرک، به این معنی که فرد به اندازه کافی حرکت نمی کند
- فشار ناگهانی به عضلات
- ماندن در یک موقعیت غیرعادی یا استرس زا برای مدت طولانی
درد پهلوها معمولاً در سمت عضله آسیب دیده است. با این حال، افرادی که به دلیل سبک زندگی کم تحرک دچار درد عضلانی می شوند، ممکن است درد در هر دو طرف یا دردی که بین طرفین به جلو و عقب حرکت می کند، تجربه کنند. آسیب های عضلانی از شایع ترین علل درد پهلو هستند. درد عضلانی می تواند بسیار شدید باشد، اما شدت درد لزوماً معیاری برای شدت آسیب نیست.
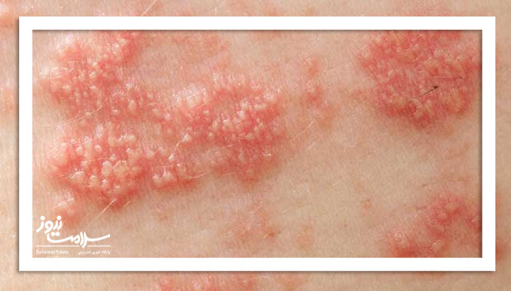
زونا
زونا عفونتی است که باعث ایجاد بثورات دردناک و تاولی می شود. هر فردی که آبله مرغان داشته باشد ممکن است به زونا مبتلا شود، اگرچه این عفونت در افراد مسن و افرادی که سیستم ایمنی ضعیفی دارند شایعتر است. زونا معمولاً با احساس سوزش عمیق یا درد خاردار از سیستم عصبی شروع می شود.
در این بیماری طی چند روز تاولهای پر از مایع در پوست ظاهر می شود. در برخی افراد، زونا می تواند بسیار شدید باشد و باعث عفونت های تهدید کننده زندگی شود. افرادی که مبتلا به HIV هستند، افرادی که داروهای سرکوب کننده سیستم ایمنی مصرف می کنند و افراد مسن، اگر فکر می کنند به زونا مبتلا هستند، باید فوراً به پزشک مراجعه کنند.
از آنجایی که زونا معمولاً فقط یک طرف بدن را تحت تأثیر قرار میدهد، افراد متوجه علائم در پهلوی چپ یا راست می شوند اما نه هر دو.

مشکلات لوزالمعده یا کبد
پانکراس و کبد در بخش عمیق شکم، درست زیر قفسه سینه قرار دارند. گاهی اوقات مشکلات این اندام ها باعث درد پهلو می شود. این درد همچنین می تواند به پشت نیز سرایت کند. از آنجایی که کبد و لوزالمعده برای کمک به هضم غذا با یکدیگر همکاری می کنند، مشکلی در یک اندام ممکن است در نهایت روی دیگری تاثیر بگذارد. بسیاری ازبیماریها می تواند بر لوزالمعده و کبد تأثیر بگذارد. برخی از این موارد، مانند مسدود شدن مجاری صفراوی به دلیل سنگ کیسه صفرا، بسیار قابل درمان هستند. بقیه، از جمله هپاتیت خودایمنی، بیماری های مزمن هستند. اگر فرد تحت درمان قرار نگیرد، برخی از بیماری های کبد و لوزالمعده تهدید کننده زندگی می شوند، اما همیشه علاوه بر درد پهلو با علائم دیگری نیز همراه هستند.
درد ناشی از مشکلات پانکراس یا کبد در سمت راست بدن رخ می دهد. علائم دیگر آن عبارتند از:
- ادرار تیره
- مدفوع کم رنگ
- حالت تهوع یا استفراغ
- حملات ناگهانی درد
- زردی چشم یا پوست
- خستگی
- تب
مسائل مربوط به ستون فقرات
مسائل مربوط به سلامت ستون فقرات، از جمله آرتریت ستون فقرات یا فتق دیسک، ممکن است باعث دردی شود که به پهلو منتشر می شود. آرتریت ستون مهرهها نوعی التهاب مزمن مهرهها است. بیماری های دیسک باعث تورم و درد در دیسک هایی می شود که استخوان های ستون فقرات را نرم می کند. برخی شرایط دیگر، مانند شکستگی در ستون فقرات نیز ممکن است باعث درد پهلو شوند. درد ناشی از مشکلات ستون فقرات معمولاً در سمت راست یا چپبدن به صورت تک طرفه رخ می دهد، اما ممکن است هر دو طرف دردناک باشد.
افرادی که مشکلات سلامت ستون فقرات دارند نیز ممکن است علائم زیر را داشته باشند:
- درد شدید و تیرکشیدن که به سمت پایین و داخل پا گسترش می یابد
- بی حسی یا سوزن سوزن شدن غیر قابل توضیح، به ویژه در ساق یا پا
علت سرد بودن شکم و پهلوها
سرد بودن شکم و پهلوها میتواند دلایل مختلفی داشته باشد. این وضعیت ممکن است ناشی از عوامل زیر باشد:
- اختلالات گردش خون: یکی از شایعترین علل سرد بودن قسمتهای بدن، اختلال در گردش خون است. در صورتی که جریان خون در مناطق شکم و پهلوها به درستی انجام نشود، ممکن است این مناطق سردتر از سایر بخشهای بدن باشند.
- کاهش متابولیسم بدن: متابولیسم پایین ممکن است باعث کاهش تولید گرما در بدن شود که در نتیجه میتواند به سردی برخی نواحی منجر شود.
- کمخونی: کمبود آهن و کاهش تعداد گلبولهای قرمز خون میتواند موجب سردی اندامها و نواحی مختلف بدن شود.
- کمبود چربی زیر جلدی: چربی زیر جلدی به عنوان یک عایق حرارتی عمل میکند. کمبود چربی در ناحیه شکم و پهلوها ممکن است منجر به احساس سرما در این مناطق شود.
- بیماریهای غدد درونریز: مشکلاتی مانند کمکاری تیروئید میتواند باعث کاهش متابولیسم و در نتیجه سردی بدن شود.
- اضطراب و استرس: در برخی افراد، استرس و اضطراب میتواند منجر به انقباض عروق و کاهش جریان خون در نواحی مختلف بدن شود که میتواند سردی این نواحی را به دنبال داشته باشد.
- عوامل محیطی: قرار گرفتن در محیطهای سرد یا پوشیدن لباسهای نازک میتواند به طور موقت باعث سردی شکم و پهلوها شود.
اگر این سردی با علائم دیگری مانند درد، تغییر رنگ پوست، یا ضعف همراه باشد، بهتر است به پزشک مراجعه کنید تا علت دقیق مشخص شود.
علت درد کمر و پهلو در زنان
درد کمر و پهلو در زنان میتواند ناشی از عوامل مختلفی باشد که برخی از آنها شایعتر از دیگران هستند. در زیر به برخی از علل احتمالی این نوع درد اشاره شده است:
-
مشکلات عضلانی و اسکلتی:
- کشیدگی عضلات: فعالیتهای شدید بدنی، بلند کردن اجسام سنگین یا وضعیت بد بدن در هنگام نشستن یا ایستادن میتواند به کشیدگی عضلات کمر و پهلو منجر شود.
- فتق دیسک: فتق یا بیرونزدگی دیسک بین مهرههای ستون فقرات میتواند باعث فشار بر روی اعصاب شده و درد کمر و پهلو ایجاد کند.
-
بیماریهای کلیوی:
- سنگ کلیه: وجود سنگ در کلیه میتواند باعث درد شدید در پهلوها و کمر شود که گاهی به پایین شکم و ناحیه تناسلی نیز منتقل میشود.
- عفونتهای کلیوی: عفونت در کلیهها میتواند منجر به درد شدید در کمر و پهلو، همراه با تب، تکرر ادرار و سوزش ادرار شود.
-
عفونتهای ادراری:
- عفونت مجاری ادراری میتواند باعث درد در ناحیه کمر و پهلوها شود. این درد ممکن است با تکرر ادرار، سوزش هنگام ادرار و بوی نامطبوع ادرار همراه باشد.
-
بیماریهای زنان:
- کیست تخمدان: وجود کیست در تخمدان میتواند باعث درد در ناحیه کمر و پهلوها شود. این درد ممکن است در زمان تخمکگذاری یا دوره قاعدگی شدیدتر شود.
- اندومتریوز: رشد بافت داخلی رحم در خارج از رحم میتواند باعث درد شدید در کمر و پهلوها، به خصوص در دوره قاعدگی، شود.
- بیماریهای التهابی لگن: این بیماری میتواند به دردهای مزمن در ناحیه لگن، کمر و پهلوها منجر شود.
-
اختلالات گوارشی:
- سندرم روده تحریکپذیر (IBS): این بیماری میتواند باعث درد در ناحیه کمر و پهلوها شود که معمولاً با علائم گوارشی مانند نفخ و تغییر در عادات دفع مدفوع همراه است.
-
بارداری:
- در دوران بارداری، به خصوص در مراحل پیشرفته، فشار وزن جنین میتواند باعث درد در ناحیه کمر و پهلوها شود.
-
استرس و تنش عصبی:
- استرس و اضطراب میتوانند باعث انقباض عضلات کمر و پهلوها شوند که منجر به درد در این نواحی میشود.
اگر درد کمر و پهلوها شدید است یا با علائم دیگری مانند تب، خونریزی، یا تغییرات ناگهانی در ادرار همراه است، بهتر است با یک پزشک مشورت کنید تا علت دقیق مشخص شده و درمان مناسب انجام شود.

درد معده که به پهلو میزند
درد معده که به پهلوها میزند، میتواند نشانهای از چندین مشکل پزشکی باشد. این نوع درد معمولاً ناشی از مشکلات دستگاه گوارش، مجاری ادراری، یا حتی مشکلات عضلانی است. در زیر به برخی از علل ممکن اشاره شده است:
-
زخم معده یا اثنی عشر:
- زخم در دیواره معده یا اثنی عشر (قسمت بالایی روده کوچک) میتواند باعث درد شدید در ناحیه معده شود که به پهلوها نیز انتشار پیدا میکند. این درد ممکن است بعد از خوردن غذا یا زمانی که معده خالی است، تشدید شود.
-
سنگ کیسه صفرا:
- وجود سنگ در کیسه صفرا میتواند درد شدیدی در قسمت بالایی شکم ایجاد کند که به سمت پهلوها و حتی پشت کمر منتشر میشود. این درد معمولاً بعد از خوردن غذای چرب تشدید میشود.
-
پانکراتیت (التهاب لوزالمعده):
- التهاب لوزالمعده میتواند باعث درد شدید در ناحیه معده شود که به پهلوها و پشت منتشر میشود. این درد ممکن است با تهوع، استفراغ و افزایش ضربان قلب همراه باشد.
-
سنگ کلیه:
- سنگهای کلیه میتوانند باعث درد شدید و ناگهانی در ناحیه پهلوها شوند که ممکن است به معده و پایین شکم نیز انتشار پیدا کند. این درد اغلب با حالت تهوع، استفراغ و مشکلات ادراری همراه است.
-
عفونتهای کلیوی:
- عفونت در کلیهها میتواند باعث درد در ناحیه پهلوها شود که ممکن است به معده نیز انتشار پیدا کند. این عفونتها معمولاً با تب، تکرر ادرار و سوزش ادرار همراه هستند.
-
بیماریهای گوارشی:
-
آپاندیسیت:
- التهاب آپاندیس معمولاً باعث درد در ناحیه پایین سمت راست شکم میشود، اما گاهی اوقات این درد میتواند به سمت معده و پهلوها نیز انتشار پیدا کند. این درد ممکن است با تهوع و تب همراه باشد.
اگر درد معده که به پهلوها میزند شدید است یا با علائم دیگری مانند تب، تهوع، استفراغ، خونریزی گوارشی یا مشکلات ادراری همراه است، باید فوراً به پزشک مراجعه کنید. تشخیص دقیق و درمان به موقع میتواند از عوارض جدی جلوگیری کند.
کرامپ شکمی چیست؟
به گزارش سلامت نیوز به نقل از وب ام دی، اگر تا به حال احساس کرامپ ناگهانی، کنترل نشده و سفت در عضلات شکم خود داشته اید، احتمالاً دچار کرامپ شکم شده اید که ناراحت هستند.
اغلب اوقات، کرامپ شکمی جدی نیست و نیازی به تشخیص ندارد. اگر اغلب اتفاق بیفتد، شدید باشد یا بیش از یک روز طول بکشد، می تواند نشانه یک مشکل پزشکی باشد و باید به پزشک مراجعه کنید.
در اینجا برخی از دلایل رایج کرامپ شکمی آورده شده است:

مسمومیت غذایی
این وضعیت زمانی اتفاق می افتد که غذای آلوده به میکروب های خاصی بخورید. گرفتگی معده می تواند یکی از علائم باشد. علاوه بر گرفتگی عضلات، ممکن است موارد زیر را نیز داشته باشید:
- ناراحتی معده
- حالت تهوع
- استفراغ کردن
- اسهال
- تب
ممکن است چند دقیقه، ساعت یا روز طول بکشد تا علائم ظاهر شوند.
افراد مسن، کودکان کمتر از 5 سال، زنان باردار و افرادی که سیستم ایمنی ضعیفی دارند بیشتر در معرض مسمومیت غذایی قرار دارند. اکثر مردم بدون مراجعه به پزشک بهبود می یابند.
سعی کنید استراحت کنید و از مصرف غذاهایی که ممکن است شما را بیمار کرده باشد پرهیز کنید.
اگر دچار استفراغ یا اسهال می شوید، کارشناسان می گویند برای جلوگیری از کم آبی مایعات فراوان بنوشید. اگر علائم شما جدی تر شد به پزشک مراجعه کنید:
- خون در مدفوع شما
- تب بالا (دمای بیش از 102 درجه فارنهایت)
- استفراغ که می تواند منجر به کم آبی بدن شود
- علائم کم آبی بدن (اغلب ادرار، سرگیجه ، خشکی دهان و گلو)
- اسهالی که بیش از چند روز طول بکشد
همچنین برای اسهال در یک کودک زیر 6 ماه یا برای یک فرد مسن با مشکلات مزمن پزشکی یا سیستم ایمنی ضعیف با پزشک تماس بگیرید.
ویروس شکمی
ممکن است بشنوید که پزشک شما این وضعیت را گاستروانتریت ویروسی نامیده است. مردم آن را آنفولانزای معده نیز می نامند، اما ناشی از ویروس آنفولانزا نیست.
انواع مختلفی از ویروس های معده وجود دارد. نوروویروس شایع ترین آن است.
از آنجایی که ویروس معده و مسمومیت غذایی علائم مشابهی مانند کرامپ عضلات دارند، به راحتی می توان این دو را با هم اشتباه گرفت. شما از طریق تماس نزدیک با فردی که این ویروس را دارد، مانند اشتراک غذا یا وسایل آشپزخانه، مانند چنگال یا چاقو، به ویروس معده مبتلا می شوید. شما همچنین می توانید با خوردن یا نوشیدن آب و غذای ناایمن به ویروس مبتلا شوید. برخلاف مسمومیت غذایی، ویروس می تواند به راحتی به افراد دیگر سرایت کند.
علائم دیگر عبارتند از:
- اسهال آبکی
- درد معده
- ناراحتی معده و استفراغ
- درد عضلانی یا سردرد
- تب با درجه پایین
هیچ درمان دارویی برای ویروس معده وجود ندارد. کارهایی وجود دارد که می توانید در خانه انجام دهید تا از کم آبی بدن جلوگیری کنید و احساس بهتری داشته باشید.
از مصرف غذاهای جامد خودداری کنید. به جای آن مقدار زیادی مایعات بنوشید مانند آب، آبگوشت شفاف یا نوشیدنی های ورزشی بدون کافئین.
سهولت در خوردن با چیزهایی شروع کنید که برای شکم شما آسان است، مانند:
- کراکر
- نان تست
- موز
- برنج
- مرغ
ببینید چه حسی دارید اگر دوباره احساس بیماری کردید از خوردن دست بکشید.
استراحت کنید کم آبی و بیمار بودن ممکن است شما را ضعیف و خسته کرده باشد.
اکثر افراد مبتلا به ویروس معده در عرض چند روز بهبود می یابند. کم آبی یک نگرانی جدی است. ممکن است مجبور شوید برای آن به بیمارستان بروید. اگر فکر می کنید دچار کم آبی شده اید با پزشک خود تماس بگیرید.
آلرژی غذایی
این وضعیت زمانی اتفاق میافتند که سیستم ایمنی بدن شما در برابر غذایی که اشتباهاً مضر است از خود دفاع کند.
شایع ترین آلرژی های غذایی به پروتئین های زیر هستند:
- صدف
- آجیل
- ماهی
- تخم مرغ
- شیر
- بادام زمینی
اگر به برخی غذاها حساسیت دارید، بهتر است از آنها اجتناب کنید. یک واکنش آلرژیک خطرناک به نام آنافیلاکسی می تواند باعث افت ناگهانی فشار خون، مشکل در بلع و تنگی نفس شود. اگر بلافاصله درمان نشود، می تواند کشنده باشد.
عدم تحمل غذایی
عدم تحمل غذایی زمانی است که غذا سیستم گوارش شما را تحریک می کند یا بدن شما در تجزیه آن مشکل دارد. لاکتوز - قندی که در شیر و سایر غذاهای لبنی یافت می شود - شایع ترین عدم تحمل غذایی است.
برای درمان سایر علائم عدم تحمل غذایی مانند سوزش سر دل یا معده درد، یک آنتی اسید مصرف کنید.
سندرم روده تحریک پذیر (IBS)
گاهی اوقات درد معده ممکن است نشانه مشکل جدی تری باشد. شما ممکن است مبتلا به وضعیتی به نام سندرم روده تحریک پذیر یا IBS باشید. علائم آن عبارتند از:
- گرفتگی
- درد معده
- نفخ
- اسهال
- گاز
علت معده درد و حالت تهوع
به گزارش سلامت نیوز به نقل از مدیکال نیوز تودی، درد معده و حالت تهوع از علائم شایع در بزرگسالان و کودکان است. علل می تواند شامل پرخوری، عفونت های روده ای، استرس و اضطراب و اختلالات مزمن دستگاه گوارش باشد. معده درد و حالت تهوع معمولا کوتاه مدت هستند و خود به خود بهبود می یابند.

نظر شما