به گزارش سلامت نیوز به نقل از وب ام دی، پاها به عنوان یکی از مهمترین اعضای بدن، وظیفه تحمل وزن و حفظ تعادل را بر عهده دارند. با این حال، مشکلات مختلفی از جمله استفاده نادرست از کفشها، آرتریت، بونیون و فشارهای مداوم میتوانند منجر به درد و آسیب در پا شوند.
کفشها
کفشهای پاشنه بلند، به ویژه زمانی که ارتفاع پاشنه بیشتر از 5.5 سانتیمتر باشند، فشار زیادی به قسمت جلویی پا وارد میکنند و میتوانند باعث نازک شدن بالشتک طبیعی پا شوند. برای جلوگیری از این مشکل، از کفشهای مناسب برای فعالیتهای مختلف استفاده کنید و مطمئن شوید که کفشها از پشتیبانی و تناسب مناسب برخوردارند. همچنین از پوشیدن کفشهای بیش از حد نوکتیز یا انعطافپذیر خودداری کنید.

آرتریت
بسیاری از انواع آرتریت، از جمله آرتروز، نقرس و آرتریت روماتوئید، میتوانند پاها را تحت تأثیر قرار دهند. در آرتروز، غضروف بین استخوانها از بین میرود و استخوانها به هم ساییده میشوند. نقرس باعث تجمع کریستالهای اسید اوریک در انگشت شست پا شده و درد و تورم ایجاد میکند. در آرتریت روماتوئید و لوپوس، سیستم ایمنی بدن به مفاصل پا و مچ حمله میکند و التهاب ایجاد میکند.

بونیون (هالوکس والگوس)
بونیون به رشد یک برآمدگی دردناک در محل اتصال انگشت شست با پا اشاره دارد. این مشکل به مرور زمان و با فشار انگشت شست به داخل به وجود میآید. کفشهای تنگ و پاشنه بلند باعث تشدید بونیون میشوند. برای کاهش درد، از یخ، پدهای مخصوص و کفشهای راحت استفاده کنید و در موارد شدید، ممکن است نیاز به جراحی داشته باشید.

بورسیت
بورسها کیسههای کوچکی پر از مایع هستند که بین مفاصل، استخوانها و تاندونها قرار دارند و از آنها محافظت میکنند اما حرکتهای مکرر یا سایش کفشها میتواند باعث التهاب آنها شود. بورسیت معمولاً در انگشتان پا و پاشنه رخ میدهد و منجر به قرمزی، تورم و درد میشود. درمانهای معمول آن نیز شامل یخ، پدینگ و داروهای مسکن است.

التهاب فاشیای کف پا (پلانتار فاشئیت)
این مشکل رایج باعث درد در پاشنه پا میشود و ناشی از التهاب رباطی است که کف پا را حمایت میکند. عواملی مانند قوس بالای پا، ماهیچههای ساق پا سفت یا ضربههای مکرر به پا میتوانند منجر به این وضعیت شوند.

شکستگی ناشی از فشار
فعالیتهایی مانند دویدن، بسکتبال و تنیس میتوانند باعث ایجاد ترکهای کوچک در استخوانهای بلند زیر انگشتان پا شوند. درمان این نوع شکستگی شامل استراحت برای 6 تا 8 هفته است.

پیچخوردگی و کشیدگی
پیچخوردگی زمانی رخ میدهد که لیگامانها (رباطها) بین استخوانها دچار آسیب شوند و کشیدگی به آسیب تاندونها اشاره دارد. این مشکلات معمولاً با تورم، کبودی و درد همراه هستند.

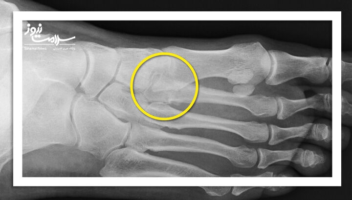
شکستگی استخوان
پای انسان از استخوانهای کوچکی تشکیل شده که به راحتی میتوانند بر اثر ضربه یا سقوط بشکنند. برای درمان شکستگی، پزشک معمولاً با روش های خاص استخوان را در جای خود ثابت نگه میدارد.

نوروم مورتون
این مشکل زمانی رخ میدهد که بافت اطراف یک عصب در جلوی پا ضخیم میشود. نوروم مورتون بیشتر بین انگشتان سوم و چهارم اتفاق میافتد و با کفشهای تنگ و پاشنه بلند تشدید میشود.

مشکلات تاندون آشیل
تاندون آشیل عضلات ساق پا را به پاشنه متصل میکند و تکرار حرکتها میتواند باعث التهاب آن شود. در موارد جدی، ممکن است این تاندون پاره شود که نیاز به استراحت و در بعضی موارد جراحی دارد.

زگیلهای کف پا
این زگیلها معمولاً در نواحی پر فشار مانند پاشنه و توپ پا ظاهر و توسط ویروس پاپیلومای انسانی (HPV) ایجاد میشوند.

نوروپاتی محیطی
این مشکل ناشی از آسیب به عصبهایی است که طناب نخاعی را به پاها متصل میکنند و باعث بیحسی، سوزش و درد میشوند. دیابت یکی از عوامل اصلی این بیماری است.

سندرم تونل تارسال
این سندرم به فشار روی عصب تیبیال در نزدیکی مچ پا اشاره دارد و میتواند باعث درد، بیحسی و سوزش در پا شود.

پدیده رینود
این وضعیت باعث میشود رگهای خونی در پاها به سرما یا استرس واکنش بیش از حد نشان دهند و محدودیت در جریان خون ایجاد کنند.



نظر شما