به گزارش سلامت نیوز به نقل از وری ول هلث، لکه های قرمز روی پوست دلایل احتمالی مختلفی دارند. به عنوان مثال، تماس با چیزی تحریککننده میتواند باعث درماتیت شود، عفونت قارچی عامل ایجاد کرم حلقوی است، ترکیدن رگهای خونی باعث ایجاد لکههایی به نام پورپورا میشود و برخی شرایط خودایمنی میتوانند باعث ایجاد بثورات شوند.
برخی از لکه ها خود به خود از بین می روند، اما برخی دیگر ممکن است نیاز به درمان داشته باشند.
این مقاله 13 علت احتمالی لکه های قرمز روی پوست و اینکه آیا آنها باعث نگرانی هستند و همچنین زمان مراجعه فوری به مراقبت های پزشکی را بررسی می کند.
لکه روی رنگ های مختلف پوست
لکه ها ممکن است در رنگ های مختلف پوست یکسان به نظر نرسند. به عنوان مثال، آکنه ممکن است در رنگهای پوست روشنتر قرمز به نظر برسد، اما در پوستهای تیره مانند لکههای تیره به نظر برسد. تحقیقات همچنین نشان داده است که از آنجایی که کتابهای درسی پزشکی معمولاً هنگام آموزش در مورد بیماریهای پوستی فاقد نمونههای پوستی متنوع هستند، ممکن است پزشکان برای شناسایی آنها با مشکل روبرو شوند.
راش گرمایی (میلاریا)
لکه های قرمز روی پوست پس از قرار گرفتن در معرض نور خورشید می تواند ناشی از شرایطی به نام "بثورات گرمایی" باشد. بثورات گرمایی (miliaria) زمانی اتفاق می افتد که غدد عرق زیر پوست مسدود می شوند و باعث ایجاد برجستگی های کوچک، قرمز و خاردار روی پوست می شود که می تواند خارش داشته باشد یا دردناک بشود.
بثورات گرمایی معمولاً در چینهای پوستی یا در مناطقی از پوست که عرق در آنها جمع میشود، مانند زیر بغل، سینه، پشت، بازوها و کشاله ران ظاهر میشود.
افرادی که در آب و هوای گرم زندگی میکنند، زیاد عرق میکنند یا به مدت طولانی استراحت میکنند، بیشتر در معرض جوشهای گرمایی هستند.
راش گرمایی را می توان با کاهش دمای پوست با استفاده از داروهای خانگی مانند حمام خنک کننده، کمپرس سرد و پوشیدن لباس های گشاد درمان کرد. همچنین به جلوگیری از لکه دار شدن روی مرطوب کننده های غلیظی که گرما را روی پوست نگه می دارند، کمک می کند.
بثورات حرارتی معمولاً طی چند روز خود به خود بهبود می یابد. با این حال، اگر پوست آسیب ببیند، می تواند منجر به عفونت ثانویه شود. در موارد شدید، آنتی بیوتیک های خوراکی یا موضعی برای تسکین درد و رفع عفونت مورد نیاز است.
در صورت مشاهده هر گونه علائم عفونت، از جمله رنگ سفید روی بثورات حرارتی، پوسته پوسته شدن پوست، یا ترشحات چرکی با پزشک خود تماس بگیرید.

راش گرمایی در مقابل راش خورشید
وجود لکههای قرمز روی پوست که بعد از بیرون رفتن خارش یا سوزش دارند، میتواند ناشی از نور خورشید یا گرما باشد. در حالی که بثورات گرمایی ناشی از درجه حرارت بالا و تعریق است، بثورات ناشی از آفتاب بیشتر شبیه آفتاب سوختگی است.
 آنژیوم گیلاسی
 
لکه های قرمز روی پوست گاهی اوقات می تواند آنژیوم گیلاس (یا همانژیوم گیلاسی) باشد که یک رشد کوچک پوستی است که به صورت یک لکه گرد قرمز یا بنفش تشکیل شده از رگ های خونی ظاهر می شود. برجستگی ها می توانند برجسته یا صاف باشند و ممکن است با یک تومور اشتباه گرفته شوند، اما سرطانی نیستند.
آنژیوم گیلاسی در بزرگسالان 30 ساله و بالاتر شایع است. آنها اغلب بر روی تنه ظاهر می شوند، اما می توانند روی بازوها، پاها و پوست سر نیز ایجاد شوند. گاهی اوقات، اندازه توده ها تغییر می کند و ممکن است خونریزی کند، اما این به معنای وجود مشکل نیست.
آنژیوم گیلاسی توسط پزشک به راحتی تشخیص داده می شود و معمولاً نیازی به درمان ندارند. با این حال، اگر ظاهر توده ها شما را آزار می دهد یا خونریزی دارند، می توانید آنها را بردارید.
پزشک شما میتواند گزینههای حذف تودهها، مانند لیزر یا نیتروژن مایع را توضیح دهد و معمولاً این روش ها ضرری ندارند.

درماتیت تماسی
لکه های قرمز روی پوست نیز می تواند ناشی از درماتیت تماسی باشد که یک بیماری شایع پوستی است. هنگامی که پوست شما با چیزی که تحریک کننده است یا به آن حساسیت دارید تماس پیدا می کند.
درماتیت تماسی معمولاً به صورت بثورات قرمز خارش دار همراه با برجستگی ظاهر می شود؛ همچنین می تواند باعث تورم، خشکی و پوسته پوسته شدن پوست در هر قسمت از بدن شود.
دو نوع اصلی درماتیت تماسی وجود دارد:
- درماتیت تماسی تحریکی زمانی اتفاق می افتد که سد محافظ پوست ضعیف شده و پوست توسط یک ماده تحریک می شود.
- درماتیت تماسی آلرژیک زمانی اتفاق میافتد که سیستم ایمنی به طور غیرعادی به یک ماده آلرژیزا (آلرژن) واکنش نشان دهد.
گاهی اوقات، به راحتی می توان فهمید که چه چیزی باعث واکنش پوستی شده است؛ برای مثال، شما از میان پیچک سمی عبور کرده اید. اگر مطمئن نیستید که چه چیزی باعث ایجاد بثورات شده است، پزشک ممکن است از شما بخواهد که یک آزمایش پچ انجام دهید تا متوجه شود آیا به چیزی که باعث واکنش پوستی شده است حساسیت دارید یا خیر.
اگر علائم یک واکنش آلرژیک شدید (مانند مشکل در تنفس یا تورم دهان، لبها یا گلو) دارید، با ۱۱۵ تماس بگیرید یا به اورژانس بروید.
درماتیت تماسی معمولاً در عرض چند هفته به خودی خود برطرف می شود به شرطی که از ماده ای که باعث آن شده است اجتناب کنید. درمان درماتیت تماسی به علت آن بستگی دارد، اما می تواند شامل کرم هیدروکورتیزون بدون نسخه (OTC) یا آنتی هیستامین های خوراکی تجویزی برای کمک به خارش باشد.

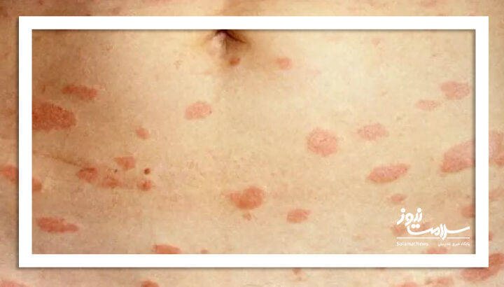
کرم حلقوی (Tinea Corporis)
لکه های قرمز روی پوست می تواند ناشی از عفونت هایی مانند کرم حلقوی (تنه آ کورپوریس) باشد. کرم حلقوی یک عفونت قارچی شایع پوستی است که باعث ایجاد بثورات قرمز، لکه دار و مدور با لبه های برجسته می شود. کرم حلقوی همچنین می تواند باعث پوسته پوسته شدن و لایه برداری پوست شود، اما معمولاً آسیبی نمی رساند.
شما می توانید در هر قسمتی از بدن خود به کرم حلقوی مبتلا شوید، اما اغلب در بازوها و پاها دیده می شود.
کرم حلقوی بسیار مسری است. پخش آن از طریق تماس پوست به پوست یا دست زدن به اشیا یا سطوح آلوده بسیار آسان است. حیوانات خانگی همچنین می توانند قارچی را که باعث ایجاد کرم حلقوی می شود منتقل کنند.
یک پزشک می تواند کرم حلقوی را بر اساس ظاهر آن تشخیص دهد. اکثر موارد کرم حلقوی را می توان با کرم ضد قارچ بدون نسخه (OTC) یا نسخه ای درمان کرد. اگر به درستی درمان نشود، کرم حلقوی می تواند گسترش یابد و ممکن است نیاز به یک داروی ضد قارچ خوراکی برای از بین بردن آن داشته باشید.

درماتیت آتوپیک (اگزما)
لکه های قرمز روی پوست می تواند ناشی از بیماری های مزمن پوستی باشد. به عنوان مثال، درماتیت آتوپیک (اگزما) یک اختلال پوستی شایع است که باعث ایجاد بثورات قرمز، خارش دار و پوسته پوسته می شود که معمولاً در چین های پوستی مانند آرنج، گردن، مچ دست و پشت زانو یا گوش ایجاد می شود. اگزما همچنین می تواند در پاها ، انگشتان پا و انگشتان دست نیز دیده شود.
درماتیت آتوپیک معمولاً در کودکان زیر 5 سال دیده میشود. معمولاً پزشک میتواند از طریق معاینه فیزیکی آن را تشخیص دهد.
درمان درماتیت آتوپیک معمولاً شامل کرمهای استروئیدی موضعی، آنتی هیستامینها یا استروئیدهای خوراکی برای موارد شدیدتر است. متخصصان همچنین توصیه می کنند پوست را به خوبی مرطوب نگه دارید تا شعله ور شدن پوست کاهش یابد.
برخی از افراد مبتلا به اگزما بعد از دوش گرفتن متوجه قرمزی و خارش می شوند. اگر دوش آب گرم یا طولانی بگیرید یا از محصولاتی استفاده کنید که پوست شما را تحریک و آن را خشک می کند، ممکن است اتفاق بیفتد.

راش دارویی
لکه های قرمز روی پوست نیز می تواند واکنش یا حساسیت به یک آلرژن باشد و بثورات دارویی است که زمانی رخ می دهد که بدن شما به یک دارو واکنش آلرژیک نشان دهد. همچنین میتواند ناشی از حساسیت دارویی یا عارضه جانبی یک دارو باشد. بثورات دارویی می توانند به صورت کهیر، بثورات یا تاول ظاهر شوند.
بثورات دارویی می تواند از خفیف تا شدید متغیر باشد و برخی موارد حتی ممکن است نیاز به مراقبت های اورژانسی داشته باشند. راش دارویی می تواند کل بدن یا فقط یک قسمت را درگیر کند. تمایل به پخش شدن (پراکنده) روی پوست دارد.
 یک پزشک تمام داروها و مکملهایی را که در حال حاضر مصرف میکنید بررسی میکند تا بفهمد که آیا بثورات شما میتواند ناشی از یکی از آنها باشد یا خیر.
اگر پس از قطع مصرف دارو، وضعیت بهتر نشد، پزشک ممکن است درمان هایی مانند استروئیدها یا آنتی هیستامین ها را برای کمک به کاهش تورم و درد تجویز کند.
واکنش های آلرژیک به دارو می تواند جدی و گاهی تهدید کننده زندگی باشد. اگر در ساعات، روزها یا هفتهها پس از مصرف داروی جدید متوجه راش شدید، فوراً با پزشک خود تماس بگیرید.

پیتریازیس روزیا
لکه های قرمز روی پوست کودکان و نوجوانان می تواند ناشی از بیماری به نام پیتریازیس روزیا باشد که یک راش شایع است و معمولاً نوجوانان، جوانان و بزرگسالان جوان را درگیر می کند که یک وضعیت جدی نیست (خوش خیم است).
پیتریازیس روزیا معمولاً با یک نقطه قرمز بزرگتر در قفسه سینه، تنه یا پشت شروع می شود که به دنبال آن لکه های قرمز کوچکتر که شکل حلقه مانند دارند، ایجاد می شود. لکه ها می توانند پوسته پوسته و خارش دار باشند.
کارشناسان نمی دانند چه چیزی باعث پیتریازیس روزیا می شود، اما اعتقاد بر این است که این بیماری با عفونت ویروسی یا باکتریایی مرتبط است و اغلب پس از عفونت ظاهر می شود. گاهی اوقات فرد دچار سردرد، گلودرد و تب نیز می شود.
پیتریازیس روزیا معمولاً از روی ظاهر آن تشخیص داده می شود. گاهی اوقات، طی شش تا هشت هفته خود به خود ناپدید می شود. پزشک شما ممکن است استروئیدها، آنتی هیستامین ها یا داروهای ضد ویروسی را برای کمک به تسکین خارش و تورم ناشی از بثورات به شما بدهد.

لکه های خونی (پورپورا)
لکه های قرمز روی پوست نیز می توانند لکه های خونی (پورپورا) باشند. این لکه های قرمز یا بنفش رنگ ممکن است روی پوست یا داخل دهان به صورت تکه های کوچک یا بزرگ ظاهر شوند. پورپورا زمانی اتفاق می افتد که رگ های خونی کوچک می ترکند و خون در زیر پوست جمع می شود.
لکههای خونی خود لزوماً مشکلی نیستند، اما میتوانند نشانهای از یک وضعیت پزشکی جدیتر باشند. به عنوان مثال، هنگامی که آنها گسترده هستند، می تواند نشانه ای از اختلال لخته شدن خون باشد.
 پزشک یک معاینه فیزیکی انجام می دهد و آزمایش خون (از جمله بررسی تعداد پلاکت های شما) را برای کمک به تشخیص علت لکه های خونی تجویز می کند.
استروئیدها گاهی برای پورپورا تجویز می شوند. اگر فرد مبتلا به پورپورا دارای تعداد پلاکت پایین باشد، ممکن است به داروهای داخل وریدی (IV) نیاز باشد.

خارش شناگر (درماتیت گردنی)
لکه های قرمز روی پوست بعد از شنا می تواند ناشی از خارش شناگر باشد. همانطور که از نام آن پیداست، این یک راش خارش دار، دارای برآمدگی و به رنگ قرمز است که پس از شنا در آب آلوده به انگل هایی به نام شیستوزوم ایجاد می شود. این انگل ها را می توان هم در زیستگاه های آب شیرین و هم در آب های شور یافت.
بثورات معمولاً در عرض یک روز پس از قرار گرفتن در معرض آب آلوده ایجاد می شود و مسری نیست اما نیاز به درمان دارد.
استروئیدهای موضعی و آنتی هیستامین های خوراکی می توانند علائم را درمان کنند و در صورت عدم بهبود عفونت ممکن است آنتی بیوتیک ها مورد نیاز باشد.

پسوریازیس
لکه های قرمز روی پوست می تواند ناشی از یک اختلال خودایمنی مزمن باشد که روی پوست تأثیر می گذارد، مانند پسوریازیس. این وضعیت توسط استرس، داروها، عفونت، آسیب یا عوامل محیطی ایجاد می شود. بثورات پسوریازیس خارش دار و قرمز با پلاک های نقره ای رنگ است که اغلب روی آرنج و زانو می باشد. این پلاک ها زمانی تشکیل می شوند که سیستم ایمنی سلول های پوست را بیش از حد تولید کند.
پزشک می تواند پسوریازیس را بر اساس ظاهر آن تشخیص دهد و گاهی اوقات نیز از بیوپسی پوست استفاده می شود. درمان پسوریازیس به شدت ضایعات بستگی دارد، اما میتواند شامل کرمهای استروئیدی موضعی، داروهای سرکوبکننده سیستم ایمنی و درمان با نور UV باشد.
کمپرس سرد، مرطوبکنندهها و حمام بلغور جو دوسر نیز میتوانند خارش ناشی از پسوریازیس را کاهش دهند.

لیکن پلان
لکه های قرمز روی پوست می تواند ناشی از سایر بیماری های خود ایمنی نیز باشد. به عنوان مثال، لیکن پلان باعث ایجاد لکه های قرمز در داخل دهان، ناخن ها، پوست سر، اندام تناسلی، چشم ها، گلو و دستگاه گوارش می شود. معمولاً به صورت راش صاف، خارش دار و بنفش ظاهر می شود.
علت لیکن پلان به خوبی شناخته نشده است، اما برخی از متخصصان معتقدند که ممکن است یک جزء ژنتیکی در این بیماری وجود داشته باشد. لیکن پلان در زنان و افراد بین 30 تا 60 سال شایع تر است.
لیکن پلان مسری نیست و گاهی اوقات بدون درمان برطرف می شود، اما همچنین می تواند مشکلی باشد که عود می کند.
پزشک می تواند لیکن پلان را با معاینه فیزیکی تشخیص دهد. آنها ممکن است درمان با استروئیدهای موضعی، رتینوئیدهای موضعی یا آنتی هیستامین های خوراکی را توصیه کنند.

پتشی
لکه های قرمز روی پوست که شبیه بثورات پوستی هستند، اما بثورات پوستی نیستند، اغلب پتشی هستند. این موارد نقاط قرمز کوچکی هستند که شبیه راش هستند و زمانی رخ می دهند که رگ های خونی ریز زیر پوست می ترکند. پتشی نسبت به آنژیوم گیلاس کوچکتر و بیشتر است.
پتشی اغلب به طور ناگهانی روی بازوها، پاها، معده و باسن ظاهر می شوند. آنها برجسته نمی شوند اما می توانند به قسمت های مختلف بدن گسترش یابند و لکه های بزرگتری را تشکیل دهند و معمولاً خارش ندارند.
پتشی در واقع یک بیماری نیست، بلکه نشانهای از عفونت، ضربه، اختلال خونریزی یا آلرژی است.
پزشک میتواند نقاط را بررسی کند تا بفهمد چه چیزی باعث آنها شده است. به عنوان مثال، عفونت های قارچی، ویروسی یا باکتریایی مانند گلودرد استرپتوکوکی و مخملک به عنوان عامل پتشی شناخته شده اند.
اگر هیچ نشانه ای از عفونت وجود نداشته باشد و لکه ها در حال گسترش نباشند، ممکن است پتشی نیازی به درمان نداشته باشد. با این حال، اگر فردی تب نیز داشته باشد، می تواند نشانه یک عفونت جدی باشد که نیاز به درمان فوری دارد.

جوش (آکنه ولگاریس)
لکه های قرمز روی پوست معمولاً فقط جوش هستند. آکنه ولگاریس یا لکه های قرمز ملتهب روی صورت، سینه و قسمت بالای کمر هستند. جوش ها زمانی ایجاد می شوند که منافذ پوست توسط چربی، سلول های مرده پوست و باکتری ها مسدود شود.
آکنه خفیف را اغلب می توان در خانه با محصولات آکنه بدون نسخه (OTC) درمان کرد. شکل شدیدتر آکنه، به نام آکنه کیستیک، ممکن است نیاز به درمان توسط متخصص پوست داشته باشد.
درمان آکنه شامل استفاده از داروهای موضعی آکنه، آنتی بیوتیک های خوراکی ایزوترتینوئین، تزریق استروئید، لایه برداری شیمیایی و ضد بارداری های هورمونی است.

چه زمانی باید به پزشک مراجعه کرد؟
لکه های قرمز روی پوست شما می تواند دلایل زیادی داشته باشد و شما ممکن است نتوانید بدون مراجعه به پزشک متوجه شوید که چرا به آنها دچار شده اید. آنها می توانند ظاهر و شدت بثورات، تاریخچه پزشکی شما و هر گونه بیماری زمینه ای که دارید را بررسی کنند.
به طور کلی، علائم هشداردهنده همراه با لکه های قرمز روی پوست شما عبارتند از:
- تب
- خستگی
- مشکل در تنفس
- درد یا تورم شدید
- ترشح چرک از بثورات
اگر لکه های قرمز روی پوست و "علائم هشداردهنده" را دارید، فوراً به دنبال مراقبت های پزشکی باشید.
خلاصه
لکه های قرمز روی پوست می تواند دلایل زیادی داشته باشد. برخی جدی نیستند و بدون درمان خود به خود بهبود می یابند. سایر علل زمینه ای جدی هستند و ممکن است نیاز به درمان داشته باشند.
شرایطی مانند جوش گرما، آنژیوم گیلاس، لیکن پلان و پیتریازیس روزآ اغلب نیازی به درمان ندارند. آکنه، درماتیت آتوپیک، درماتیت تماسی، پتشی، پسوریازیس، پورپورا، کرم حلقوی و خارش شناگر ممکن است نیاز به تشخیص و درمان توسط متخصص پوست یا سایر متخصصان داشته باشند.
 
                                         
                                         
                                         
                                        
 
            
 
                 
                                         
                                         
                                         
                                         
                                         
                                         
                                         
                                        
نظر شما