به گزارش سلامت نیوز به نقل از وری ول هلث، زخمهای دهان مرتبط با اچآیوی (ویروس نقص ایمنی انسانی) شایع هستند و ۷۰ تا ۹۰ درصد افراد را در برخی از مراحل بیماری تحتتاثیر قرار میدهند. آنها ممکن است به عنوان یک نشانه اولیه عفونت یا در پیشرفته ترین مرحله بیماری، به نام AIDS (سندرم نقص ایمنی اکتسابی) ایجاد شوند.
زخمها در نتیجه ضعف سیستم ایمنی ایجاد میشوند که کنترل عفونتهایی مانند تبخال یا برفک دهان را سختتر میکند. زخم ها را می توان مستقیماً درمان کرد، اما مدیریت HIV با داروهای ضد رتروویروسی می تواند سیستم ایمنی بدن شما را تقویت کند و خطر ابتلا به این عفونت ها را کاهش دهد.
این مقاله انواع مختلف زخمهای دهان مرتبط با HIV را شرح میدهد، تصاویر و فهرستی از علائم و درمانها را ارائه میدهد.
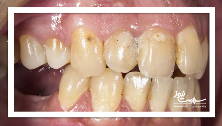
زخم آفتی یا آفت
زخمهای آفتی بهعنوان زخمهای شانکر یا استوماتیت آفتی نیز شناخته میشوند. آنها مسری نیستند، اما تصور می شود که به دلیل اختلال عملکرد سیستم ایمنی ایجاد می شوند.
علائم آفت شامل موارد زیر است:
- یک یا چند زخم دردناک روی گونههای داخلی، لب، سقف دهان یا پایه لثه
- پوست متورم و قرمز اطراف زخم ها
- یک مرکز سفید یا زرد
- یک لایه نازک خاکستری مایل به زرد که روی زخم قرار گرفته است که به راحتی می توان آن را خراش داد
- درد هنگام جویدن یا مسواک زدن
- درد هنگام خوردن غذای اسیدی یا شور
زخمهای آفتی میتوانند هر کسی را درگیر کنند، اما در افراد مبتلا به HIV شایعتر و شدیدتر و عودکنندهتر هستند.
برخی از افراد مبتلا به اچآیوی ممکن است تا شش بار در سال این بیماری را تجربه کنند. این دوره ها می توانند خود به خود رخ دهند یا با یک آسیب جزئی دهان مانند خراشیدن، گاز گرفتن یا سوختگی ایجاد شوند.

چگونه زخم های آفتی درمان می شوند؟
زخم های آفتی اغلب خود به خود برطرف می شوند. دهانشویه های نمکی می توانند به بهبودی سریعتر کمک کنند، در حالی که نوشیدن آب یخ یا مکیدن چیپس یخ می تواند به کاهش درد دهان کمک کند.
داروهایی وجود دارند که می توانند به کاهش درد و التهاب و بهبودی کمک کنند. برخی از آنها موضعی هستند (برای زخم استفاده می شود) در حالی که برخی دیگر خوراکی هستند (از طریق دهان مصرف می شوند).
این موارد عبارتند از:
- بی حس کننده های موضعی مانند لیدوکائینپماد یا بنزیدامیندهانشویه یا اسپری
- استروئیدهای موضعی حاوی هیدروکورتیزون
- ژل های مانع حاوی تریامسینولون(یک استروئید خفیف)
- استروئیدهای خوراکی مانند پردنیزولون برای موارد شدید یا عود کننده
ویروس هرپس سیمپلکس (HSV)
تبخال دهان که به عنوان تبخال یا تاول تب نیز شناخته می شود، توسط ویروس بسیار مسری به نام ویروس هرپس سیمپلکس (HSV) ایجاد می شود.
دو نوع HSV وجود دارد: HSV-1 معمولاً با تبخال دهان و HSV-2 که معمولاً با تبخال تناسلی مرتبط است. برخی از موارد تبخال دهان زمانی رخ می دهد که HSV-2 در حین رابطه جنسی دهانی به دهان منتقل می شود.
تبخال دهان می تواند خود به خود ایجاد شود، اغلب زمانی که سیستم ایمنی بدن فرد ضعیف است. زخم ها بیشتر روی خط لب یا زیر بینی ایجاد می شوند اما ممکن است در داخل لب یا گونه داخلی نیز ایجاد می شوند.
علائم عبارتند از:
- قرمزی، تورم، سوزن سوزن شدن یا خارش اولیه در محلی که زخم قرار است ظاهر شود.
- شروع سریع تاول های دردناک و پر از مایع که به تاول های بزرگتر تبدیل می شوند.
- فوران تاول ها، ایجاد زخم های دردناک و تراوش کننده
- پوسته شدن و بهبود تدریجی

تبخال دهان چگونه درمان می شود؟
تبخال معمولاً یک تا دو هفته بدون درمان باقی می ماند. اگر به محض تشخیص علائم، داروهای ضد ویروسی خوراکی مصرف شوند، ممکن است شدت و مدت آن کاهش یابد.
این موارد شامل داروهای ضد ویروسی زیر است:
- والترکس (والاسیکلوویر)
- زوویراکس (آسیکلوویر)
- فامویر (فامیکلوویر)
کاندیدیازیس دهان
کاندیدیازیس دهان که به عنوان برفک دهان نیز شناخته می شود شایع ترین عفونت دهان در افراد مبتلا به HIV است. برفک دهان اولین علامت HIV در حدود 10 درصد موارد است.
برفک دهان به دلیل رشد بیش از حد کاندیدا آلبیکنس، همان قارچی که باعث عفونت های مخمری واژن می شود، ایجاد می شود. این بیماری مسری نیست، اما زمانی ایجاد می شود که یک سیستم ایمنی ضعیف به قارچ اجازه می دهد تا خارج از کنترل رشد کند.
علائم برفک دهان عبارتند از:
- تکه های سفید (پلاک) روی گونه های داخلی، زبان، سقف دهان و گلو
- قرمزی، درد یا احساس سوزش خفیف
- احساس پنبه مانند در دهان
- از دست دادن چشایی
- خونریزی و درد اگر بخواهید پلاک ها را بتراشید
- ترک خوردگی و قرمزی در گوشه های دهان (به نام کیلیت زاویه ای)
برفک دهان می تواند در هر مرحله از عفونت رخ دهد. هنگامی که کاندیدیازیس در گلو یا اطراف لوزه ها ایجاد می شود، به طور کلی نشان دهنده HIV یا ایدز پیشرفته است.

برفک دهان چگونه درمان می شود؟
برفک دهان با ضد قارچ های موضعی برای موارد خفیف تر یا ضد قارچ های خوراکی برای موارد شدیدتر یا عود کننده درمان می شود.
اینها شامل داروهای ضد قارچی زیر است:
- نیستاتین
- کلوتریمازول
- میکونازول
- فلوکونازول
- ورینوکازول
لکوپلاکی مویی دهان (OHL)
لکوپلاکی مویی دهان(OHL) تا 60 درصد از افراد مبتلا به HIV را تحت تأثیر قرار می دهد که تحت درمان ضد رتروویروسی نیستند. OHL همچنین اولین علامت رایج HIV است، معمولاً زمانی که بیماری پیشرفته است دیده می شود و نشان دهنده این است که سیستم ایمنی قبلاً به خطر افتاده است.
OHL به دلیل عفونت با ویروس اپشتین بار (EBV) است که تنها زمانی باعث ایجاد OHL می شود که سیستم ایمنی بدن به شدت آسیب دیده باشد.
اگرچه EBV مسری است، اما عفونت در همه جا وجود دارد و بیش از 90٪ از جمعیت جهان را تحت تاثیر قرار می دهد. تنها زمانی که نقص ایمنی رخ می دهد، EBV می تواند خود را به صورت OHL بیان کند.
علائم OHL عبارتند از:
- لکه های سفید عمدتاً در لبه زبان که نمی توانید آنها را بتراشید
- پلاک هایی که ظاهری چین خورده با زائده های پر مانند مو دارند
- تغییرات در طعم
- حساسیت به دمای غذا
- درد یا بدون درد
گاهی اوقات پوشش گونه ها و لب ها نیز ممکن است تحت تأثیر قرار گیرد.

نحوه درمان لکوپلاکیا مویی دهان
OHL ممکن است به درمان دیگری غیر از درمان ضد رتروویروسی نیاز نداشته باشد. داروهای ضد ویروسی خوراکی مانند زوویراکس (آسیکلوویر) ممکن است پاکسازی OHL را تسریع کنند، اما در غیاب درمان ضد رتروویروسی، OHL احتمالا عود کرده و جدیتر میشود.
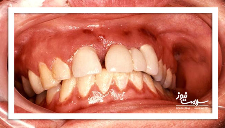
ژنژیویت مرتبط با HIV
ژنژیویت مرتبط با HIV که بیشتر به عنوان بیماری پریودنتال در افراد مبتلا به HIV شناخته می شود، یک شکل غیر مسری از بیماری لثه است که می تواند به دو شکل باشد:
- اریتم خطی لثه: شکل کمتر شدیدی که باعث قرمزی لثه، تورم و خونریزی آسان لثه می شود.
- پریودنتیت اولسراتیو نکروزان: شکل شدیدتر که می تواند باعث زخم های دهان و زوال شدید بافت های استخوان و لثه شود.
ژنژیویت مرتبط با HIV معمولا در افرادی که سیستم ایمنی آنها به خطر افتاده است دیده می شود. به ندرت به خودی خود رخ می دهد و به احتمال زیاد با سایر شرایط تعریف کننده ایدز همراه است.
علائم ژنژیویت مرتبط با HIV عبارتند از:
- قرمزی و تورم خود به خودی لثه
- خونریزی لثه
- زخم های دردناک روی لثه یا بافت های اطراف دندان
- عقب رفتن لثه
- از دست دادن احتمالی دندان

ژنژیویت مرتبط با HIV چگونه درمان می شود؟
اساس نیاز فوری به درمان ضد رتروویروسی، بهداشت خوب دندان است. درد دندان را می توان با دهانشویه بی حس کننده و چیپس یخ کاهش داد.
روش های اصلاحی دندان می تواند از بدتر شدن بیماری لثه و از دست دادن دندان جلوگیری کند، از جمله:
- برداشتن پلاک
- جرم گیری و روت پلنینگ (صاف کردن سطوح ریشه و حذف مواد آسیب دیده دندان)
- استفاده از پوویدون ید برای سرکوب باکتری هایی که باعث پوسیدگی دندان می شوند
- نگهداری با دهانشویه پریدیکس (کلرهگزیدین) یک یا دو بار در روز
- آنتی بیوتیک های خوراکی ممکن است برای جلوگیری از عفونت های باکتریایی ثانویه اضافه شوند.
ویروس پاپیلومای انسانی (HPV)
ویروس پاپیلوم انسانی(HPV) یک ویروس بسیار مسری است که بیشتر با زگیل تناسلی مرتبط است، اما می تواند به دلیل رابطه جنسی دهانی در دهان نیز ایجاد شود.
بیش از 100 نوع مختلف از جمله حداقل 12 گونه پرخطر مرتبط با سرطان وجود دارد.
تقریباً 10 درصد از مردان و 3.6 درصد از زنان مبتلا به HPV دهانی هستند. همچنین تصور می شود که عامل 70 درصد سرطان های دهان و حلق (دهان و گلو) در ایالات متحده باشد.
با این اوصاف، HPV پرخطر تمایلی به ایجاد علائم ندارد مگر اینکه سرطان اوروفارنکس ایجاد شود (معمولاً 5 تا 15 سال پس از عفونت اولیه).
اگر علائم دهانی ایجاد شود، اغلب مربوط به انواع کم خطر HPV است که باعث سرطان نمی شوند.
علائم HPV دهانی عبارتند از:
- زگیل های بدون درد روی زبان، لب، سقف دهان یا کام نرم در نزدیکی پشت گلو
- ظاهری صاف یا گل کلم مانند
- به طور معمول کند رشد می کند

HPV دهان چگونه درمان می شود؟
در بیشتر موارد، عفونت های دهانی HPV طی دو سال خود به خود از بین می روند و هیچ مشکلی برای سلامتی ایجاد نمی کنند. اگر زگیل ایجاد شود، جراحی یا سرما درمانی با نیتروژن مایع تنها راه برای از بین بردن آنها است.
واکسیناسیون برای جلوگیری از HPV
با واکسن می توان از HPV پیشگیری کرد. این واکسن برای کودکان 11 یا 12 ساله توصیه می شود اما می توان آن را از 9 سالگی شروع کرد. افرادی که به اندازه کافی واکسینه نشده اند می توانند واکسن را تا سن 26 سالگی دریافت کنند.
افراد بالای 26 سال از قبل به HPV مبتلا هستند اما می توانند پس از مشورت با پزشک خود درخواست واکسیناسیون کنند.
سارکوم کاپوزی (KS)
سارکوم کاپوزی(KS) شایع ترین سرطان تعریف کننده ایدز است که توسط ویروس هرپس انسانی (HHV8) ایجاد می شود. این نوع سرطان پوست مسری نیست و تقریباً به طور انحصاری زمانی دیده می شود که فرد مبتلا به ایدز باشد.
KS می تواند باعث ایجاد ضایعات در هر قسمت از بدن از جمله لب ها و لثه ها شود.
علائم سارکوم کاپوزی عبارتند از:
- لکه های ارغوانی، قرمز، آبی یا قهوه ای با شکل نامنظم که شبیه کبودی هستند
- ظاهری مسطح یا برجسته
- به طور کلی بدون درد

نحوه درمان سارکوم کاپوزی
درمان KS بر بازیابی عملکرد ایمنی شما با درمان ضد رتروویروسی متمرکز است. انجام این کار می تواند سرطان را از بین ببرد و ممکن است نیازی به درمان دیگری نداشته باشد. با این حال، ضایعات می توانند باعث ناراحتی شدید شوند و برخی از افراد ممکن است تصمیم بگیرند که آنها را با کرایوتراپی حذف کنند.
اگر KS از پوست به اندامهای داخلی منتشر شود، ممکن است به درمان تهاجمیتری نیاز داشته باشد. در چنین مواردی ممکن است شیمی درمانی یا پرتودرمانی توصیه شود.
