موارد زیر ممکن است در برخی شرایط نشاندهنده بیماری های قلبی شما باشد.

12 سرنخ که نشان می دهد بیماری قلبی دارید

آپنه خواب

به گزارش سلامت نیوز به نقل از وب ام دی، هنگامی که خروپف شما با مکث در فرآیند تنفس شما قطع می شود، مغز شما ممکن است اکسیژن کافی دریافت نکند. این اتفاق سیگنال‌ها را به رگ‌های خونی و قلب شما ارسال می‌کند تا برای حفظ جریان خون سخت‌تر کار کنند و در نتیجه خطر ابتلا به فشار خون بالا، ریتم غیر طبیعی قلب، سکته مغزی و نارسایی قلبی را افزایش می دهد.

آپنه خواب قابل درمان است و اگر نشانه های آن را دارید حتما به پزشک مراجعه کنید.

آپنه خواب

راش زرد-نارنجی

سطوح بسیار بالای تری گلیسیرید می تواند باعث شود در اطراف بند انگشتان دست و پا و در پایین بدن شما راش زر-نارنجی ایجاد شود. بسیاری از این چربی‌ها در خون شما ممکن است در سفت شدن شریان‌ها نقش داشته باشند و تعداد زیاد آنها اغلب به شرایط دیگری مربوط می‌شود که شما را در معرض خطر بیماری قلبی و سکته نیز قرار می‌دهد.

راش پوستی

ضعیف شدن بدن

قدرت بدنی شما ممکن است چیزی در مورد قدرت قلبتان به شما بگوید. تحقیقات نشان می دهد که توانایی فشار دادن چیزی به خوبی ممکن است با کاهش خطر بیماری قلبی مرتبط باشد. اگر درک یک شی برای شما سخت است، احتمال اینکه مشکل داشته باشید، بیشتر می شود. (اما بهبود قدرت گرفتن به تنهایی لزوماً قلب شما را سالم تر نمی کند.)

قدرت بدنی

لکه تیره زیر ناخن

قاط کوچکی از خون که در زیر ناخن شما گیر افتاده است می‌تواند نشانه‌ای از عفونت در دیواره قلب یا دریچه‌های شما باشد که آندوکاردیت نامیده می‌شود. شما همچنین می توانید این لکه های خونی را زمانی که دیابت دارید مشاهده کنید و افراد مبتلا به این بیماری دو تا چهار برابر بیشتر در معرض بیماری قلبی و سکته هستند.

12 سرنخ که نشان می دهد بیماری قلبی دارید

سرگیجه

سبکی سر اغلب نتیجه مستقیم مشکلی در قلب شماست زیرا خون کافی به مغز پمپاژ نمی کند. سرگیجه می‌تواند نشانه‌ای از یک ریتم غیرطبیعی (آریتمی) باشد. نارسایی قلبی نیز می تواند شما را بی ثبات کند. احساس پژمردگی یکی از علائم کمتر شناخته شده حمله قلبی نیز هست.

سرگیجه

مشکلات جنسی

برخی از مشکلات جنسی می تواند به این معنی باشد که شما مبتلا به بیماری قلبی هستید و خطر بیشتری برای حمله قلبی یا سکته دارید. مردان مبتلا به اختلال نعوظ ممکن است مشکلات گردش خون مرتبط با فشار خون بالا یا عروق باریک ناشی از تجمع کلسترول داشته باشند.

این مشکلات مربوط جریان خون همچنین می تواند میل جنسی و توانایی زن برای لذت بردن از رابطه جنسی را کاهش دهد.

مشکل جنسی

تغییر رنگ پوست

انگشتان دست و پا آبی یا خاکستری ممکن است ناشی از گردش ضعیف خون غنی از اکسیژن باشد که اغلب به دلیل نقص قلبی یا عروق خونی باریک یا مسدود شده است.

زمانی که تکه‌هایی از پلاک‌های کلسترول انباشته شده در رگ های خونی جدا می‌شوند و سپس در رگ‌های خونی کوچک تر گیر می‌کنند، یک طرح توری، خال‌دار و بنفش نمایان می‌شود.

هنگام ابتلا به اندوکاردیت ممکن است لکه های خونی، درست زیر پوست در قسمت داخلی دست ها و کف پاهایتان ایجاد شود.

تغییر رنگ پوست

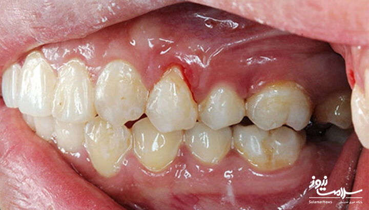
خونریزی لثه

کارشناسان به طور کامل ارتباط بین بیماری لثه و بیماری قلبی را درک نمی کنند اما مطالعات نشان می‌دهند که خونریزی، تورم یا حساس بودن لثه‌ها ممکن است باعث ایجاد مشکل در قلب شما شود. یک نظریه این است که باکتری از لثه وارد جریان خون شده و باعث التهاب در قلب شما می شود.

ابتلا به بیماری لثه که می تواند منجر به از دست دادن دندان شود، ممکن است احتمال سکته مغزی را نیز افزایش دهد.

خونریزی لثه

لکه های پوستی تیره و مخملی

هنگامی که بدن شما در استفاده از هورمون انسولین دچار مشکل می شود، ممکن است لکه های ضخیم آکانتوز نیگریکانس را در چین و چروک های پوستی مانند گردن، زیر بغل و کشاله ران پیدا کنید. این لکه های ضخیم می توانند برچسب های پوستی نیز داشته باشند.

اگر برای مقاومت به انسولین، سندرم متابولیک یا دیابت نوع 2 تحت درمان نیستید، برای کمک به کنترل قند خون و محافظت از قلب به پزشک مراجعه کنید.

لکه های تیره پوستی

مشکل در تنفس

احساس تنگی نفس می تواند نشانه ای از نارسایی قلبی، ریتم غیر طبیعی قلب یا حمله قلبی باشد. اگر بعد از انجام کارهایی که قبلاً برایتان آسان بود به سختی نفس می کشید یا نفس کشیدن در حالت دراز کش سختشده است، به پزشک خود اطلاع دهید.

آیا درد قفسه سینه هم دارید؟ با ۱۱۵ تماس بگیرید.

تنگی نفس

تورم در ساق پا

زمانی که برای مدت طولانی ایستاده یا نشسته ایدتورم در ساق پا اتفاق می افتد و در دوران بارداری نیز رایج تر است. تجمع مایعات همچنین می تواند ناشی از نارسایی قلبی و گردش خون ضعیف در پاهای شما باشد. پاهای متورم می تواند ناشی از لخته ای باشد که مانع از بازگشت خون از اندام تحتانی به قلب شما می شود.

اگر تورم ناگهانی ظاهر شد، فوراً با پزشک خود تماس بگیرید.

تورم در پا

خستگی

نارسایی قلبی می تواند باعث شود شما خسته باشید، زیرا عضله دیگر آنقدر خوب پمپاژ نمی کند تا نیازهای بدن شما را برآورده کند. مراقب علائم دیگر مانند سرفه و تورم نیز باشید، زیرا احساس ضعف می‌تواند علامت هشداردهنده بسیاری از شرایط مختلف از جمله کم خونی، سرطان یا حتی افسردگی باشد.

خستگی

برچسب‌ها

نظر شما

شما در حال پاسخ به نظر «» هستید.
captcha